This is the most common complaint found in children and adults. It is not always associated with ear disease. It may be caused by several other conditions as follows.

Causes:

  1. Impacted teeth
  2. Sinus disease
  3. Inflammed tonsils and infections in the nose and pharynx

Symptoms:

  1. Pain and itching
  2. Fever
  3. Hearing Problem
  4. Dizziness
  5. Fluid discharge
  6. inflammations
  7. Crying more than usual

Ayurvedic Management: Eliminating the root cause of disease. Local therapautic procedures and internal medications,

  1. Karna Poornana
  2. Karna dhoopanam
  3. Karna prakshalanam
The above said procedure helps to reduces the frequent ear infections, inflammation and pain

Tonsils are four little lymph glands situated in your throat. The paired taucial tonsils are visible at the entrance to your throat.

Why tonsils important? Tonsils do a very important job of trapping bacteria in their crypts. Then the phagocytes from the blood consume these bacteria, hence the infection is trapped before it reaching the bronchial tubes and lungs. When these warriors are overwhelmed by the striking bacteria, they get infected, inflammed and enlarged and tonsilitis occur.

Cause:

  1. Weak immune system
  2. Unhealthy Diet
  3. Common Virus
  4. Bacterial infections

Symptoms:

  1. Redness of throat
  2. White spots tonsils
  3. Difficulty while swallowing
  4. General Weakness
  5. Ear ache
  6. Throat Pain
  7. Fever
  8. Sore throat
  9. Bad breath

Ayurvedic Management: There are effective natual remedies than can help to support and maintain throat and tonsil health, boost immune functioning and fight tonsil infection when it occurs.

With internal and external medications,

  1. Managing the local pain, reddness & swelling
  2. Treating the fever
  3. Life style adjustment to avoid further damage to tonsils.
"Ayurveda medicines helps the tonsils to win the war"

Nasal polyps are growths that develop in the nose or sinuses. They are actually very common, and can be caused by various allergies, inflammations and infections.

Causes

  1. Allergy
  2. Sinusitis
  3. Genetics
  4. Age

Symptoms

  1. Snoring
  2. Itching - Nose, eyes
  3. Reduced sensation of smell
  4. Rhinitis
  5. Difficulty in breathing
  6. Disturbed sleep - Nasal Block

Ayurveda Management Ayurveda has specialized treatment of nasal polyps that helps in reducing the inflammation and swelling of nasal polyps. The application of herbal medicated oils along with nasayam therapy has been found to be very useful.

Sinusitis is an inflammation or swelling of the tissue lining the sinuses. Healthy sinuses are filled with air. But when they become blocked and filed with fluid, germs can grow and cause an infection.

Causes:

  1. Upper respiratory infection
  2. Allergy and related conditions
  3. Dental infections
  4. A change in atmosphpere
  5. Smoking and other air pollutants

Symptoms:

  1. Runny nose
  2. Sneezing
  3. Head Ache
  4. Heaviness
  5. Pain around eyes
  6. Fever
  7. A feeling of congestion

Ayurvedic Management: The Ayurvedic approach to sinusitis treatment is multifaceted and can involve a combination of detoxification, liquiefying and expelling aggraveted doshas, through

  1. Nasya
  2. Dhoopanam
  3. Oral Medicines
  4. Dietary and life style

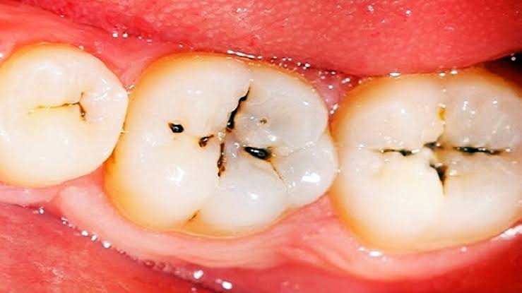
Teeth are very precious organs of the body, governing lot of functions like chweing, speech control, giving shape to the mouth and the most important of all is to maintain the beauty of the face. Once they are destroyed, they cannot regrow.

As bacterial imbalances in within your mouth can travel down your digestive tract and affect your whole body, it is important that you look after the health of your teeth, gums and mouth.

In Ayurveda, good number of medicaments are explained for strengthing the teeth and gums. To maintain "Fresh breath and healthy teeth" Ayurveda is the best choice.

Common Dental Problems:

  1. Cavities or tooth decay
  2. Gingivitis(Gum Disease)
  3. Cracked or broken teeth
  4. Sensitive teeth
  5. Periodonitics
  6. Mouth sores
  7. Tooth aches
  8. Cosmetic needs
  9. Bad breath
  10. Tooth erosion
  11. Difficulty in chewing

Ayurvedic Management:

  1. Palliative treatment
  2. Purificatory treatment - Kavalam, Gandusam, Medicated drops
Everyone is aware that mouth hygiene is associated with regular cleaning of teeth, gums, tongue. The question is how and with what to do the cleaning, so it can be effective as possible.

Subscribe to our newsletter